Loudoun County sheriff’s deputies responding to multiple weather-related crashes
The Loudoun County sheriff’s office is responding to a number of weather-related crashes as the first snow storm of the region settles in.
The Loudoun County sheriff’s office is responding to a number of weather-related crashes as the first snow storm of the region settles in.
Loudoun County schools scales back to online learning; Fairfax County schools looks to return to the classroom
There are new developments tonight coming out of two Northern Virginia school districts – Fairfax County is moving forward with heading back to school while Loudoun County is scaling back.
There are new developments tonight coming out of two Northern Virginia school districts – Fairfax County is moving forward with heading back to school while Loudoun County is scaling back.
Loudoun County Public Schools to make return to 100% distance learning
Loudoun County Public Schools announced on Thursday it will revert to 100% distance learning for all students beginning Tuesday, Dec. 15.
Loudoun County Public Schools announced on Thursday it will revert to 100% distance learning for all students beginning Tuesday, Dec. 15.
Maryland man assaulted woman working at Leesburg apartment complex, cops say
A Maryland contractor is facing felony charges after he cornered a woman working at a Leesburg apartment complex and assaulted her, police say.
A Maryland contractor is facing felony charges after he cornered a woman working at a Leesburg apartment complex and assaulted her, police say.
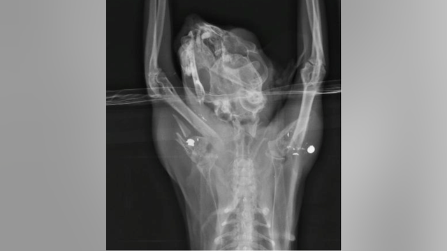
At least 10 cats shot, many with pellet guns, in Loudoun County since April
At least 10 cats have been shot in Loudoun County since April – five of which did not survive their "catastrophic" injuries, according to Loudoun County Animal Services.
At least 10 cats have been shot in Loudoun County since April – five of which did not survive their "catastrophic" injuries, according to Loudoun County Animal Services.
Debate over in-person learning in Loudoun County
Loudoun County teachers want answers before they return to the classroom during the coronavirus pandemic. FOX 5's Sierra Fox reports.
Loudoun County teachers want answers before they return to the classroom during the coronavirus pandemic. FOX 5's Sierra Fox reports.
Debate over in-person learning in Loudoun County
Loudoun County teachers want answers before they return to the classroom during the coronavirus pandemic. FOX 5's Sierra Fox reports.
Loudoun County teachers want answers before they return to the classroom during the coronavirus pandemic. FOX 5's Sierra Fox reports.
Loudoun County teachers rally against returning to the classroom
The debate rages over returning to school. A few teachers in Loudoun County held a rally to amplify their concerns because they do not believe it is not safe. Loudoun Education Association President, Sandy Sullivan, said teachers are feeling ignored.
The debate rages over returning to school. A few teachers in Loudoun County held a rally to amplify their concerns because they do not believe it is not safe. Loudoun Education Association President, Sandy Sullivan, said teachers are feeling ignored.
Loudoun County teachers rally against return to classroom
Teachers in Loudoun County protested returning to in-person instruction on Saturday.
Teachers in Loudoun County protested returning to in-person instruction on Saturday.
Loudoun County schools superintendent leaving for Houston area position
Loudoun County Schools Superintendent Eric Williams is leaving the Northern Virginia school district for a position in the metro Houston area.
Loudoun County Schools Superintendent Eric Williams is leaving the Northern Virginia school district for a position in the metro Houston area.
Nearly 10 years after Loudoun County woman’s disappearance, boyfriend faces charges
Nearly 10 years after an Ashburn woman disappeared, her then boyfriend is facing charges.
Nearly 10 years after an Ashburn woman disappeared, her then boyfriend is facing charges.
Leesburg fraudster used PPP cash for Cessna aircraft, Lexus automobile, prosecutors say
A Leesburg man is facing charges after he allegedly used the CARES Act Paycheck Protection Program to swindle the government out of $2.5 million, which he spent on items including a Cessna aircraft and a Lexus.
A Leesburg man is facing charges after he allegedly used the CARES Act Paycheck Protection Program to swindle the government out of $2.5 million, which he spent on items including a Cessna aircraft and a Lexus.
Loudoun County middle school teacher arrested for public intoxication
A Loudoun County middle school teacher has been charged with public intoxication.
A Loudoun County middle school teacher has been charged with public intoxication.
Search continues for missing paddle boarder in Loudoun County
A search is underway for a woman who went paddle boarding alone in Loudoun County on Thursday evening.
A search is underway for a woman who went paddle boarding alone in Loudoun County on Thursday evening.
Loudoun County sheriff’s deputies catch man breaking into school with a hammer
Loudoun County sheriff’s deputies have taken a man into custody after he allegedly tried to break into a school armed with a hammer.
Loudoun County sheriff’s deputies have taken a man into custody after he allegedly tried to break into a school armed with a hammer.
Thousands sign petition in Loudoun County calling on school district to cut back on work
In Loudoun County, thousands of students and parents are furious – and they’re making sure school district officials know why.
In Loudoun County, thousands of students and parents are furious – and they’re making sure school district officials know why.
Leesburg police looking for suspect who broke into woman’s house, sexually assaulted her
Leesburg police are looking for a man who broke into a woman’s home after midnight, exposed himself, and sexually assaulted her.
Leesburg police are looking for a man who broke into a woman’s home after midnight, exposed himself, and sexually assaulted her.
No charges after Loudoun County cops investigate gun store's Facebook post for voter intimidation
In Northern Virginia, the Loudoun County Sheriff’s Office was asked to investigate a claim of potential voter intimidation at the polls.
In Northern Virginia, the Loudoun County Sheriff’s Office was asked to investigate a claim of potential voter intimidation at the polls.
Some Virginia athletes cheering ‘Let them Play’ amid COVID-19 restrictions
Some parents and families in Virginia are desperately trying to get their high school athletes back on the field.
Some parents and families in Virginia are desperately trying to get their high school athletes back on the field.
Loudoun County cops catch gobbler red-beaked in family’s bathroom
Loudoun County sheriff’s deputies were responding to a reported break-in last week when they encountered a particularly foul criminal lurking in a family’s bathroom.
Loudoun County sheriff’s deputies were responding to a reported break-in last week when they encountered a particularly foul criminal lurking in a family’s bathroom.



















