New guideline declares 'urgent need' for IUD insertion pain relief options
Doctors are being called to offer pain relief options to patients undergoing an intrauterine device (IUD) insertion procedure.
UnitedHealthcare CEO killer search: What we know so far
Efforts to track down the gunman who shot and killed UnitedHealthcare CEO Brian Thompson outside a New York City hotel expanded over the weekend.
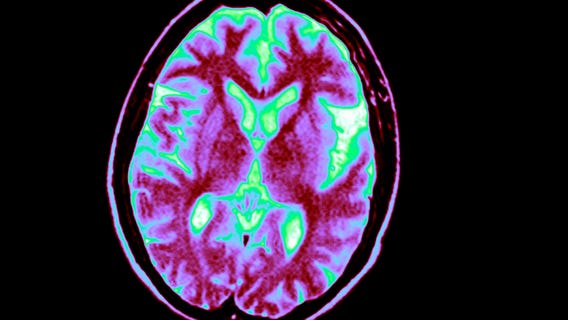
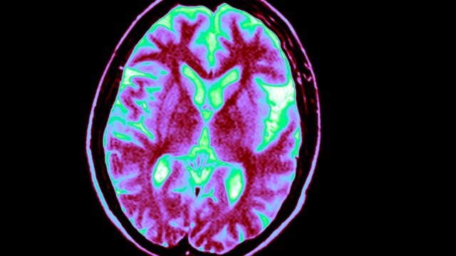
New Alzheimer’s drug that can modestly slow disease approved by FDA
U.S. officials have approved another Alzheimer’s drug that can modestly slow the disease, providing a new option for patients in the early stages of the incurable, memory-destroying ailment.
'Spotty shortages' of cough and cold medicine as flu season ramps up: doctor
RSV, flu, cold, COVID-19 and now a lingering cough are spreading across the D.C. area, and doctors say getting over-the-counter medicine to ease the symptoms could require some planning.
Kaiser Permanente health care workers go on strike in DC, Virginia over wages, staffing shortages
Hundreds of Kaiser Permanente health care workers in the D.C. region, and tens of thousands more across the nation, went out on strike Wednesday morning at hospitals across the U.S. amid ongoing labor negotiations.
3 tips to protect your ears at music festivals this summer
Festivals are great fun until your hearing is affected. Over time, listening to loud music can cause hearing loss. Dr. Melissa Heche, a hearing and speech pathologist, spoke to FOX 5 on how your hearing can be negatively impacted when exposed to music set at a high volume.
How to keep your eyes healthy this summer
As temperature rises during the summer, doctors state that we must care for our health, skin, and hair. However, like our skin and health undergo immense pressure during the summer, so do our eyes.
Over 80,000 Marylanders could lose Medicaid eligibility
Maryland officials are preparing for as many as 80,000 residents who could no longer qualify for Medicaid coverage this spring, as the federal government reinstates a requirement that existed before the COVID-19 pandemic for states to verify the eligibility of recipients.
Study ranks Virginia as best place to retire in America; Maryland as one of the worst
Not Florida, or Arizona, or San Diego - but Virginia is considered one of the best places to retire for seniors (but not for the weather).
Pharmacists can now prescribe COVID-19 treatment pill thanks to new US policy
Pharmacists can prescribe the leading COVID-19 pill directly to patients under a new U.S. policy announced Wednesday that’s intended to expand use of Pfizer’s drug Paxlovid.
Medicare enrollees can get free COVID-19 tests at drug stores
This is the first time that Medicare has covered an over-the-counter self-administered test at no cost to beneficiaries.
New Maryland bill could criminalize threats against health care workers
A new Maryland bill would criminalize threats against health care workers.
Several groups call for mandatory vaccinations for healthcare workers
More than 50 groups representing millions of healthcare workers signed onto a letter Monday calling for vaccine mandates among doctors, nurses, and others in the medical field.
Former UMD gymnast battling rare disease plans multiple surgeries to combat illness
Former University of Maryland gymnast, Alexandra Robinson, has primary lymphedema, but she's not letting it stop her from pursuing her goals. She's planning to undergo multiple surgeries that will help lead to a more normal life for her.
Starbucks offering free coffee for frontline workers in December
Starbucks is stepping up to once again offer free coffee to front-line workers amid the ongoing pandemic.
Supreme Court arguments indicate ‘Obamacare’ likely to survive
A more conservative Supreme Court appears unwilling to do what Republicans have long desired: kill off the Affordable Care Act, including its key protections for pre-existing health conditions and subsidized insurance premiums that affect tens of millions of Americans.
FBI, federal agencies warn ransomware assault threatens US healthcare system
Federal agencies warned that cybercriminals are unleashing a major ransomware assault against the U.S. healthcare system. Independent security experts say it has already hobbled at least four U.S. hospitals this month, and could potentially impact hundreds more.
Democrats targeting healthcare during Supreme Court hearings
Presidential candidate Joe Biden says Senate Democrats should make health care the focus of Amy Coney Barrett’s Supreme Court confirmation hearings, not the conservative judge’s Catholic faith.
ER nurse talks about what it's like to be on the frontlines of the COVID-19 pandemic
Imagine being in your first year as an emergency room nurse and COVID-19 happens. That was the case for Virginia Walker in Loudoun County.
'A joy to come to work': Northern Virginia doctor grateful to treat coronavirus patients
Imagine if your job was to treat people with a disease that’s highly contagious, hidden, and deadly – and still being grateful to go to work.



















