Google launches no-password log in feature
The passkey feature gives users a new option over a password or two-step verification.
The passkey feature gives users a new option over a password or two-step verification.
Artificial intelligence helping detect early signs of breast cancer in some US hospitals
Some hospitals have seen a 23% increase in breast cancer diagnoses since utilizing AI technology.
Some hospitals have seen a 23% increase in breast cancer diagnoses since utilizing AI technology.
Social media app Clapper touted as an adult version of TikTok
The video platform allows users worldwide to connect and share unique content in their communities.
The video platform allows users worldwide to connect and share unique content in their communities.
AI life hacks: How travelers are using ChatGPT to plan trips on a budget
A TikToker mapped out a two-week trip to Europe with the generative AI tool, but others urge caution.
A TikToker mapped out a two-week trip to Europe with the generative AI tool, but others urge caution.
AI-powered cruise control can stop 'phantom traffic jams' before they start
Software predicts the perfect speed to keep from having to stop.
Software predicts the perfect speed to keep from having to stop.
Fed-up parents in Senate push for ban of social media for kids
A group of senators is considering legislation banning social media for children under 13 years old amid growing concerns from parents about the negative impact of social media on children's mental health and well-being.
A group of senators is considering legislation banning social media for children under 13 years old amid growing concerns from parents about the negative impact of social media on children's mental health and well-being.
Facebook failed to protect privacy of children using Messenger Kids app, FTC says
The Federal Trade Commission says Facebook misrepresented the access it provided to app developers to private user data.
The Federal Trade Commission says Facebook misrepresented the access it provided to app developers to private user data.
Some 14 million jobs won't exist globally in 5 years, report says
Here are the jobs that will be most impacted in the years ahead, according to the new report by the World Economic Forum.
Here are the jobs that will be most impacted in the years ahead, according to the new report by the World Economic Forum.
Jada Pinkett Smith says 'Red Table Talk' is looking for 'new home' after Facebook Watch cancellation
A Meta spokesperson said it will be refocusing on original content in virtual reality.
A Meta spokesperson said it will be refocusing on original content in virtual reality.
Tech sector continues to shed jobs as Dropbox lays off 500
Employees affected by the Dropbox layoffs will get 16 weeks pay as severance, plus an additional week's pay for every year of tenure.
Employees affected by the Dropbox layoffs will get 16 weeks pay as severance, plus an additional week's pay for every year of tenure.
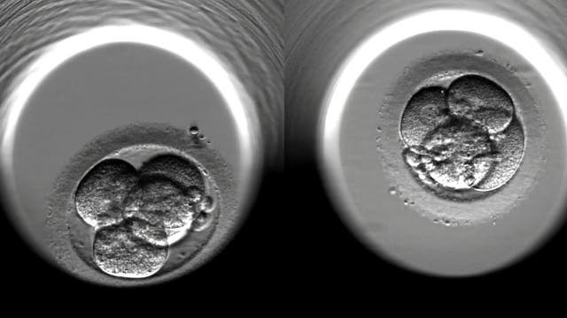
Sperm-injecting robot used to create babies in scientific breakthrough
According to the MIT report, engineers used a Sony PlayStation 5 controller to operate the robot.
According to the MIT report, engineers used a Sony PlayStation 5 controller to operate the robot.
People spent 24% more time on Instagram after launch of AI-powered Reels, Zuckerberg says
People are spending even more time on Instagram due to short-form video content they’re seeing in their feed through AI recommendations, according to Meta CEO Mark Zuckerberg.
People are spending even more time on Instagram due to short-form video content they’re seeing in their feed through AI recommendations, according to Meta CEO Mark Zuckerberg.
Lawmakers, parents clash over social media age requirement
A bipartisan group of lawmakers wants to establish a minimum age to use social media apps like TikTok, Facebook, Snapchat, and more.
A bipartisan group of lawmakers wants to establish a minimum age to use social media apps like TikTok, Facebook, Snapchat, and more.
Senators look to ban kids under 13 from social media in bipartisan bill
The legislation would also reportedly set restrictions for how tech companies use algorithms on social media to serve minors. Here's what to know.
The legislation would also reportedly set restrictions for how tech companies use algorithms on social media to serve minors. Here's what to know.
Lost iPhone survives 33 days under water off Hawaiian coast
A Minnesota man gave up on retrieving his iPhone after dropping it while on vacation, but the phone had a lot more endurance than he thought.
A Minnesota man gave up on retrieving his iPhone after dropping it while on vacation, but the phone had a lot more endurance than he thought.
AST SpaceMobile completes first space-based voice call using smartphones
AST SpaceMobile parnered with AT&T, Rakuten, Vodafone
AST SpaceMobile parnered with AT&T, Rakuten, Vodafone
Tinder trouble: Man charged with impersonating deputy on dating app
The images showed him wearing a deputy's uniform, and one image showed him carrying a loaded gun, New Mexico authorities said.
The images showed him wearing a deputy's uniform, and one image showed him carrying a loaded gun, New Mexico authorities said.
Red Cross urges gamers to obey laws of war while playing first-person shooters: 'Even wars have rules'
The humanitarian group wants to fight against the normalization of war, even for people playing video games on their couches.
The humanitarian group wants to fight against the normalization of war, even for people playing video games on their couches.
Study finds how fast new AI tech can crack your passwords
This new AI program can guess more than half of all commonly used passwords in minutes.
This new AI program can guess more than half of all commonly used passwords in minutes.
Twitter verification blue checkmarks reportedly reappearing for some users
Twitter removed the blue marks last week from accounts that don’t pay a monthly fee. But the marks mysteriously returned for many highly followed accounts over the weekend.
Twitter removed the blue marks last week from accounts that don’t pay a monthly fee. But the marks mysteriously returned for many highly followed accounts over the weekend.



















